Normal Tissues

Brain

Cerebrum, grey matter
Cerebrum, white matter
Cerebellum, cortex (molecular layer, Purkinje cell layer, granule cell layer, white matter)
Cerebellum (white matter)

Endocrine Tissues

Adrenal gland
Thyroid gland
Parathyroid gland
Pituitary gland, anterior lobe
Pituitary gland, posterior lobe

Respiratory system

Lung

Proximal digestive tract

Rectum, mucosa
Rectum, mucosa – Significant nuclear HMGB1 staining of all cells. Staining intensity is higher in the crypt base than in the surface epithelium
Tonsil, surface epithelium

Gastronintestinal tract

Stomach, antrum
Stomach, corpus (glands)
Duodenum, Brunner gland
Duodenum, Brunner gland – Significant nuclear HMGB1 staining of all epithelial and inflammatory cells. HMGB1 staining is somewhat weaker in Brunner glands

Liver, Gallbladder, Pancreas

Liver
Liver – Significant nuclear HMGB1 staining of all cells. Staining is particularly high in bile ducts and particularly low in hepatocytes
Pancreas

Kidney, urinary bladder

Kidney, cortex
Kidney, cortex – Significant nuclear HMGB1 staining of all cells. Staining is particularly low in tubuli (especially proximal) and highest in collecting ducts and glomeruli
Kidney, medulla
Kidney, medulla – Strong nuclear HMGB1 staining of collecting duct cells
Urinary bladder, urothelium
Urinary bladder, urothelium – Strong nuclear HMGB1 staining of all urothelial cell layers

Male tissues

Epididymis (Cauda)
Epididymis (Corpus)
Epididymis (Corpus) – HMGB1 staining is more intense in basal than in chief cells
Prostate
Prostate – Significant nuclear HMGB1 staining of all cells. Staining is particularly low in acinar cells and highest in basal cells
Seminal vesicle
Seminal vesicle – Significant nuclear HMGB1 staining of all cells. In the epithelium, HMGB1 staining is more intense in basal than in luminal cells
Testis
Testis – Significant nuclear HMGB1 staining of Sertoli cells. HMGB1 staining is weaker in the germ cells it where the staining level decreases from spermatogonia to spermatocytes and spermatides (which are HMGB1 negative)

Female Tissues

Breast
Breast – HMGB1 positivity is strongest in basal and luminal epithelial cells
Uterus, ectocervix
Uterus, ectocervix – HMGB1 staining intensity is strongest in the basal and suprabasal cell layers and countinuously decreases towards the superficial cell layers
Uterus, endocervix
Uterus, endometrium (proliferation)
Uterus, endometrium (proliferation) – Strong nuclear HMGB1 staining of epithelial and stromal cells
Uterus, endometrium (pregnancy)
Uterus, endometrium (secretion)
Uterus, endometrium (secretion) – Strong nuclear HMGB1 staining of stromal cells while HMGB1 staining is markedly less intense in epithelial cells in this sample
Uterus, myometrium
Fallopian tube, mucosa
Ovary, stroma
Ovary, corpus luteum
Ovary, corpus luteum – HMGB1 staining is only faint in the corpus luteum
Stomach, corpus (surface epithelium)
Placenta (amnion and chorion)
Placenta (amnion and chorion) – Strong nuclear HMGB1 staining of chorion cells, moderate nuclear HMGB1 staining of amnion cells
Placenta, early
Placenta, mature

Muscle, connective & soft tissue

Skeletal muscle
Aorta, media
Heart muscle
Urinary bladder, muscular wall
Appendix, muscular wall
Colon descendens, mucosa
Colon descendens, mucosa – Significant nuclear HMGB1 staining of all cells. Staining intensity is higher in the crypt base than in the surface epithelium
Colon descendens, muscular wall

Skin

Skin, hairfollicel and sebaceous glands
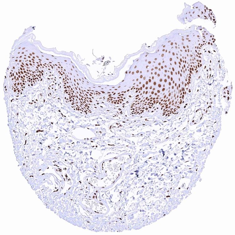
Anal canal, skin
Anal canal, skin – HMGB1 staining intensity is strongest in the basal and suprabasal cell layers and it countinuously decreases towards the superficial cell layers

Bone Marrow & lymphoid tissues

Bone marrow
Bone marrow – Intense nuclear HMGB1 staining of virtually all cells of the hematopesis
Thymus
Thymus – Strong nuclear HMGB1 staining of virtually all cells of the immune system. HMBG1 labeling is weaker in corpuscles of Hassall’s, especially in their central areas
Spleen
Lymph node
Tonsil