Search
0
Open account page
Open menu
Antibodies
Tissue Microarrays
Gallery
Normal Tissue Gallery
Cancer Tissue Gallery
Quiz
About Us
Contact
Cancer Tissues
HMGB1
Product Page
Normal Tissues
Endocrine Tissues
Adrenal gland
Adrenal gland – Adrenocortical adenoma with weak to moderate HMGB1 staining of tumor cells
Adrenal gland
Adrenal gland – Pheochromocytoma lacking HMGB1 staining in tumor cells
Adrenal gland
Adrenal gland – Pheochromocytoma with absence HMGB1 staining in tumor cells
Respiratory system
Lung
Lung – Malignant mesothelioma with only a faint HMGB1 staining of tumor cells
Proximal digestive tract
Oral cavity
Oral cavity – Squamous cell carcinoma lacking HMGB1 staining in tumor cells
Oral cavity
Oral cavity – Squamous cell carcinoma with moderate intensity HMGB1 staining of tumor cells
Oral cavity
Oral cavity – Squamous cell carcinoma with strong HMGB1 immunostaining of tumor cells
Esophagus
Esophagus – Adenocarcinoma showing a strong HMGB1 staining of tumor cells
Esophagus
Esophagus – Squamous cell carcinoma lacking HMGB1 staining in tumor cells
Esophagus
Esophagus – Squamous cell carcinoma with strong HMGB1 staining of tumor cells
Salivary gland
Salivary gland – Warthin tumor with strong HMGB1 staining of tumor and inflammatory cells
Gastronintestinal tract
Stomach
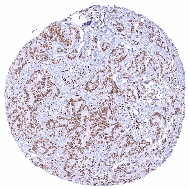
Stomach – Gastric adenocarcinoma (intestinal type) with strong nuclear and moderate cytoplasmic HMGB1 staining of tumor cells
Stomach
Stomach – Gastric adenocarcinoma largely lacking HMGB1 staining in tumor cells
Stomach
Stomach – Gastrointestinal stromal tumor (GIST) lacking HMGB1 staining of tumor cells
Stomach
Stomach – Gastrointestinal stromal tumor (GIST) with moderate to strong HMGB1 immunostaining of tumor cells
Liver, Gallbladder, Pancreas
Liver
Liver – Cholangiocellular carcinoma lacking HMGB1 immunostaining in tumor cells
Liver
Liver – Cholangiocellular carcinoma with moderate to strong HMGB1 staining of tumor cells
Liver
Liver – Hepatocellular carcinoma with moderate to strong HMGB1 staining of tumor cells
Pancreas
Pancreas – Neuroendocrine tumor with strong HMGB1 positivity of tumor cells
Kidney, urinary bladder
Kidney
Kidney – Chromophobe renal cell carcinoma with a complete loss of HMGB1 staining of tumor cells
Kidney
Kidney – Chromophobe renal cell carcinoma with strong HMGB1 immunostaining of all tumor cells
Kidney
Kidney – Clear cell renal cell carcinoma with a complete loss of HMGB1 staining i tumor cells
Kidney
Kidney – Clear cell renal cell carcinoma with strong HMGB1 staining of all tumor cells
Kidney
Kidney – Papillary renal cell carcinoma lacking HMGB1 staining in tumor cells
Kidney
Kidney – Papillary renal cell carcinoma with strong HMGB1 positivity of tumor cells
Urinary bladder
Urinary bladder – Muscle-invasive urothelial carcinoma showing a strong HMGB1 positivity of all tumor cells
Male tissues
Prostate
Prostate – Adenocarcinoma (Gleason 3+3=6) largely lacking HMGB1 staining of tumor cells
Prostate
Prostate – Adenocarcinoma (Gleason 5+5=10) lacking HMGB1 staining in tumor cells
Prostate
Prostate – Adenocarcinoma (Gleason 5+5=10) with strong nuclear and moderate cytoplasmic HMGB1 staining of tumor cells
Prostate
Prostate – Recurrent adenocarcinoma (Gleason 5+5=10) after hormonal therapy now showing a complete loss HMGB1 staining of tumor cells
Testis
Testis – Seminoma lacking HMGB1 immunostaining in tumor cells
Female Tissues
Uterus
Uterus – Leiomyosarcoma with moderate HMGB1 immunostaining of tumor cells
Ovary
Ovary – Clear cell carcinoma showing a complete lack of HMGB1 staining in tumor cells
Ovary
Ovary – Malignant mixed Mullerian tumor exhibiting a strong HMGB1 staining of tumor cells
Bone Marrow & lymphoid tissues
Soft tissue
Soft tissue – Chondrosarcoma largely lacking HMGB1 staining of tumor cells
Lymph node
Lymph node – Angioimmunoblastic T-cell lymphoma with absence of HMGB1 positivity in the tumor cells