Normal Tissues

Brain

Cerebrum, grey matter
Cerebrum, white matter
Cerebellum, cortex (molecular layer, Purkinje cell layer, granule cell layer)
Cerebellum (white matter)

Endocrine Tissues

Adrenal gland
Adrenal gland – Faint membranous CLDN3 staining of few epithelial cells
Adrenal gland
Adrenal gland – No CLDN3 staining in this sample
Thyroid gland
Thyroid gland – Moderate to strong membranous CLDN3 staining of follicular epithelial cells
Parathyroid gland
Parathyroid gland – Weak to moderate membranous CLDN3 staining of epithelial cells
Pituitary gland, anterior lobe
Pituitary gland, anterior lobe – Moderate membranous CLDN3 staining of a subset of epithelial cells
Pituitary gland, posterior lobe

Respiratory system

Lung
Lung – Faint membranous CLDN3 staining of some pneumocytes
Lung
Lung – Strong membranous CLDN3 staining of bronchiolized alveolar cell. CLDN3 staining is only faint in regular pneumocytes

Proximal digestive tract

Tonsil, surface epithelium
Parotid gland
Parotid gland – Strong membranous CLDN3 staining of glandular cells. CLDN3 staining is only very faint in excretory duct cells

Gastronintestinal tract

Stomach, antrum
Stomach, antrum – Distinct membranous CLDN3 positivity of few epithelial cells in the neck and in glandular pits
Stomach, antrum
Stomach, antrum – Strong membranous CLDN3 staining of a small subset of epithelial cells in the neck and in glandular pits
Duodenum, Brunner gland

Liver, Gallbladder, Pancreas

Liver
Liver – Moderate membranous CLDN3 staining of hepatocytes
Liver
Liver – Strong membranous CLDN3 staining of bile ducts. Weak to moderate membranous CLDN3 staining of hepatocytes, predominantly at the bile secreting pole
Pancreas
Pancreas – Strong membranous CLDN3 staining of acinar cells. Staining is weaker in cells of islets of Langerhans
Pancreas
Pancreas – Strong membranous CLDN3 staining of acinar cells

Kidney, urinary bladder

Kidney, cortex
Kidney, cortex – A strong membranous CLDN3 staining preferentially occurs in collecting ducts but can also be seen in individual tubular cells
Kidney, medulla
Kidney, medulla – A membranous CLDN3 staining of variable intensity occurs in collecting ducts
Kidney, pelvis, urothelium
Kidney, pelvis, urothelium – Weak to strong membranous CLDN3 staining of a subset of urothelial cells, predominantly in the upper half of the urothelium
Urinary bladder, urothelium
Urinary bladder, urothelium – Weak to strong membranous CLDN3 staining of a subset of urothelial cells, predominantly in the upper half of the urothelium

Male tissues

Epididymis (Cauda)
Epididymis (Cauda) – Strong membranous CLDN3 staining of most epithelial cells
Epididymis (Corpus)
Epididymis (Corpus) – Faint membranous CLDN3 staining of chief cells
Prostate
Prostate – Strong membranous CLDN3 staining of basal and acinar epithelial cells
Seminal vesicle
Seminal vesicle – Moderate to strong membranous CLDN3 staining of epithelial cells
Testis

Female Tissues

Breast
Breast – Strong membranous CLDN3 staining of luminal cells
Uterus, ectocervix
Uterus, endocervix
Uterus, endocervix – Strong, predominantly basolateral membranous CLDN3 staining of epithelial cells
Uterus, endometrium (proliferation)
Uterus, endometrium (proliferation) – Strong membranous CLDN3 staining of epithelial cells
Uterus, endometrium (pregnancy)
Uterus, endometrium (pregnancy) – Strong membranous CLDN3 staining of epithelial cells
Uterus, endometrium (secretion)
Uterus, endometrium (secretion) – Strong membranous CLDN3 staining of epithelial cells
Uterus, myometrium
Fallopian tube, mucosa
Fallopian tube, mucosa – Strong membranous CLDN3 staining of epithelial cells
Ovary, stroma
Ovary, corpus luteum
Ovary, corpus luteum – Weak to moderate, membranous CLDN3 staining of at least a large subset of corpus luteum cells
Placenta (amnion and chorion)
Placenta, early
Placenta, early – Faint to moderate, membranous CLDN3 staining of the surface membrane of the syncytiotrophoblast
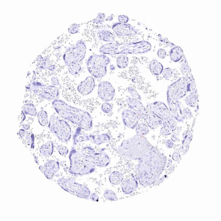
Placenta, mature
Placenta, mature – No CLDN3 staining in this sample
Placenta, mature
Placenta, mature – Various endothelial cells show a distinct CLDN3 staining

Muscle, connective & soft tissue

Skeletal muscle
Aorta, media
Urinary bladder, muscular wall
Appendix, muscular wall
Colon descendens, mucosa
Colon descendens, mucosa – Strong membranous CLDN3 staining of all epithelial cells
Colon descendens, muscular wall

Skin

Skin
Skin, hairfollicel and sebaceous glands

Bone Marrow & lymphoid tissues

Bone marrow
Bone marrow – Distinct membranous CLDN3 staining of megacaryocytes
Thymus
Thymus – Strong membranous CLDN3 staining of cells of corpuscles of Hassall’s
Spleen
Spleen – Moderate to strong CLDN3 staining of a subset of cells in the white pulp
Lymph node
Lymph node – Strong luminal membranous CLDN3 staining of at least a subset of high endothelial venules. Moderate to strong CLDN3 staining of a subset of cells in germinal centres
Lymph node
Lymph node – Strong luminal membranous CLDN3 staining of at least a subset of high endothelial venules
Tonsil
Tonsil – Strong membranous CLDN3 staining of squamous epithelial cells of the crypts