Cancer Tissues

Endocrine Tissues

Adrenal gland
Adrenal gland – CLDN3 negative adrenocortical adenoma
Adrenal gland
Adrenal gland – CLDN3 negative pheochromocytoma

Respiratory system

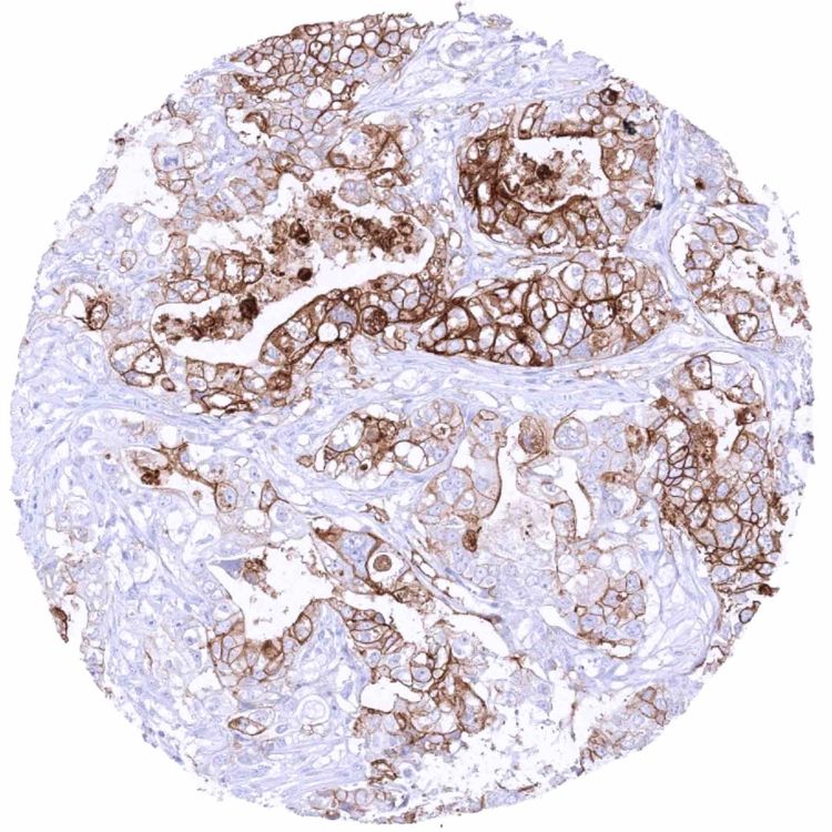
Lung
Lung – Adenocarcinoma with strong CLDN3 positivity of all tumor cells

Proximal digestive tract

Esophagus
Esophagus – Adenocarcinoma with only a faint membranous CLDN3 staining of few tumor cells
Esophagus
Esophagus – Adenocarcinoma with strong CLDN3 immunostaining of tumor cells
Esophagus
Esophagus – CLDN3 negative squamous cell carcinoma
Salivary gland
Salivary gland – Warthin tumor with a moderate CLDN3 staining of tumor cells
Salivary gland
Salivary gland – Warthin tumor with a weak to moderate CLDN3 staining of tumor cells. In addition, a strong staining occurs in cell groups within lymphatic tissue
Salivary gland
Salivary gland – Warthin tumor with faint CLDN3 staining of luminal membranes of tumor cells. In addition, a strong staining occurs in cell groups within lymphatic tissue

Gastronintestinal tract

Stomach
Stomach – CLDN3 negative gastric adenocarcinoma (diffuse type)
Stomach
Stomach – CLDN3 negative gastrointestinal stromal tumor (GIST)
Stomach
Stomach – CLDN3 negative gastrointestinal stromal tumor (GIST)
Stomach
Stomach – Gastric adenocarcinoma (diffuse type) with strong CLDN3 staining of tumor cells
Stomach
Stomach – Gastric adenocarcinoma (intestinal type) with intense CLDN3 positivity of tumor cells
Stomach
Stomach – Gastric adenocarcinoma (intestinal type) with strong CLDN3 positivity of most tumor cells
Colon
Colon – Colorectal adenocarcinoma with strong CLDN3 immunostaining of tumor cells

Liver, Gallbladder, Pancreas

Liver
Liver – Cholangiocellular carcinoma with intense CLDN3 positivity of all tumor cells
Liver
Liver – Hepatocellular carcinoma with strong CLDN3 staining of tumor cells
Pancreas
Pancreas – Adenocarcinoma of the papilla Vaterii with strong CLDN3 staining of tumor cells
Pancreas
Pancreas – CLDN3 negative ductal adenocarcinoma. CLDN3 positivity is seen in adjacent non-neoplastic cells
Pancreas
Pancreas – CLDN3 negative ductal adenocarcinoma
Pancreas
Pancreas – Ductal adenocarcinoma with faint CLDN3 staining of tumor cells
Pancreas
Pancreas – Neuroendocrine tumor showing a strong CLDN3 staining of 100_ of tumor cells

Kidney, urinary bladder

Kidney
Kidney – Chromophobe renal cell carcinoma with a weak CLDN3 staining of few tumor cells
Kidney
Kidney – CLDN3 negative clear cell carcinoma
Kidney
Kidney – Clear cell renal cell carcinoma showing a weak strong CLDN3 staining of tumor cells
Kidney
Kidney – Papillary renal cell carcinoma with strong CLDN3 immunostaining of tumor cells
Urinary bladder
Urinary bladder – CLDN3 negative muscle-invasive urothelial carcinoma
Urinary bladder
Urinary bladder – Muscle-invasive urothelial carcinoma with strong CLDN3 positivity of tumor cells

Male tissues

Prostate
Prostate – Adenocarcinoma (Gleason 3+3=6) with strong CLDN3 staining of tumor cells
Prostate
Prostate – Adenocarcinoma (Gleason 5+5=10) with strong CLDN3 staining of tumor cells. Staining is markedly stronger than in intermingled non-neoplastic atrophic cells
Testis
Testis – CLDN3 negative embryonal carcinoma
Testis
Testis – CLDN3 negative seminoma

Female Tissues

Breast
Breast – Invasive breast cancer of no special type (NST) with strong CLDN3 staining of tumor cells
Breast
Breast – Invasive lobular breast cancer with a moderate to strong CLDN3 staining of tumor cells
Uterus, cervix
Uterus, cervix – Adenocarcinoma with strong CLDN3 immunostaining of most tumor cells
Ovary
Ovary – Clear cell carcinoma with strong CLDN3 staining of tumor cells
Ovary
Ovary – Serous high-grade carcinoma with strong CLDN3 staining of tumor cells

Muscle, connective & soft tissue

Penis
Penis – CLDN3 negative squamous cell carcinoma

Bone Marrow & lymphoid tissues

Lymph node
Lymph node – CLDN3 negative Hodgkin’s lymphoma