Normal Tissues

Brain

Cerebrum, grey matter
Cerebrum, white matter
Cerebellum, cortex (molecular layer, Purkinje cell layer, granule cell layer, white matter)
Cerebellum (white matter)

Endocrine Tissues

Adrenal gland
Thyroid gland
Parathyroid gland
Pituitary gland, anterior lobe
Pituitary gland, posterior lobe

Respiratory system

Lung

Proximal digestive tract

Appendix, mucosa
Appendix, mucosa – In epithelial cells, PARP1 staining intensity is lowest in surface epithelial cells
Duodenum, mucosa
Duodenum, mucosa – In the epithelium, PARP1 staining intensity is lowest in the surface epithelial cells
Esophagus, squamous epithelium
Esophagus, squamous epithelium – Squamous epithelium shows a mild decrease of PARP1 staining intensity from the basal-suprabasal to the surface cell layers
Parotid gland

Gastronintestinal tract

Stomach, antrum
Duodenum, Brunner gland

Liver, Gallbladder, Pancreas

Liver
Liver – Moderate PARP1 staining of hepatocytes
Liver
Liver – Strong PARP1 staining of hepatocytes
Liver
Liver – Weak PARP1 staining of hepatocytes
Pancreas

Kidney, urinary bladder

Kidney, cortex
Kidney, cortex – Distinct PARP1 positivity of all cells.Staining is weakest in proximal tubuli
Kidney, cortex
Kidney, medulla
Urinary bladder, urothelium
Urinary bladder, urothelium – Distinct PARP1 positivity of all urothelial cells

Male tissues

Epididymis (Cauda)
Prostate
Seminal vesicle
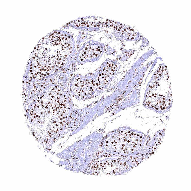
Testis

Female Tissues

Breast
Uterus, ectocervix
Uterus, ectocervix – Squamous epithelium shows a mild decrease of PARP1 staining intensity from the basal-suprabasal to the surface cell layers
Uterus, endocervix
Uterus, endometrium (proliferation)
Uterus, endometrium (pregnancy)
Uterus, endometrium (secretion)
Uterus, myometrium
Fallopian tube, mucosa
Ovary, stroma
Ovary, corpus luteum
Placenta, early
Placenta, early – Absence of PARP1 staining in the syncytiotrophoblast. Distinct PARP1 positivity of all other cells
Placenta (chorion)
Placenta (amnion)
Placenta, mature
Placenta, mature – Absence of PARP1 staining in the syncytiotrophoblast

Muscle, connective & soft tissue

Skeletal muscle
Aorta, media
Heart muscle
Urinary bladder, muscular wall
Appendix, muscular wall
Colon descendens, muscular wall

Skin

Skin
Skin – Squamous epithelium shows a mild decrease of PARP1 staining intensity from the basal-suprabasal to the surface cell layers

Bone Marrow & lymphoid tissues

Bone marrow
Thymus
Spleen
Lymph node
Tonsil