Normal Tissues

Brain

Cerebrum, grey matter
Cerebellum, cortex (grey)
Cerebellum (molecular layer, Purkinje cell layer, granule cell layer, white matter)

Endocrine Tissues

Adrenal gland
Thyroid gland
Parathyroid gland
Pituitary gland, posterior lobe
Pituitary gland, posterior lobe (2)

Respiratory system

Lung

Proximal digestive tract

Tonsil, surface epithelium
Tonsil, surface epithelium – Strong cytoplasmic and nuclear PAI2 staining of the upper 2-3 of the squamous epithelium
Parotid gland
Parotid gland – Absence of PAI2 staining in this sample
Parotid gland
Parotid gland – Moderate to strong cytoplasmic and nuclear PAI2 staining of epithelial cells from excretory ducts

Gastronintestinal tract

Stomach, antrum
Duodenum, Mucosa and Brunner gland

Liver, Gallbladder, Pancreas

Liver
Pancreas
Pancreas – Absence of PAI2 staining in this sample
Pancreas
Pancreas – Moderate to strong cytoplasmic and nuclear PAI2 staining of a small subset of epithelial cells

Kidney, urinary bladder

Kidney, cortex
Kidney, medulla
Kidney, pelvis, urothelium
Urinary bladder, urothelium

Male tissues

Epididymis (Cauda)
Epididymis (Corpus)
Prostate
Seminal vesicle
Testis

Female Tissues

Breast
Uterus, ectocervix
Uterus, ectocervix – Weak cytoplasmic and nuclear PAI2 staining of intermediate layers of squamous epithelium (superficial and basal layers are PAI2 negative)
Uterus, endocervix
Uterus, endometrium (proliferation)
Uterus, endometrium (pregnancy)
Uterus, endometrium (pregnancy) – Strong cytoplasmic and nuclear PAI2 staining of decidua cells
Uterus, endometrium (secretion)
Uterus, myometrium
Fallopian tube, mucosa
Ovary, stroma
Ovary, stroma (2)
Ovary, corpus luteum
Ovary, corpus luteum – Weak cytoplasmic and nuclear PAI2 staining of few dispersed corpus luteum cells
Placenta, early
Placenta, early – Strong cytoplasmic and nuclear PAI2 staining of trophoblast cells
Placenta (chorion)
Placenta (chorion) – Strong PAI2 staining of decidua cells
Placenta (amnion)
Placenta (amnion) – Strong PAI2 staining of decidua and amnion cells
Placenta, mature
Placenta, mature – Strong cytoplasmic and nuclear PAI2 staining of trophoblast cells

Muscle, connective & soft tissue

Aorta, media
Skeletal muscle, tongue
Heart muscle
Urinary bladder, muscular wall
Appendix, muscular wall
Colon descendens, mucosa
Colon descendens, muscular wall

Skin

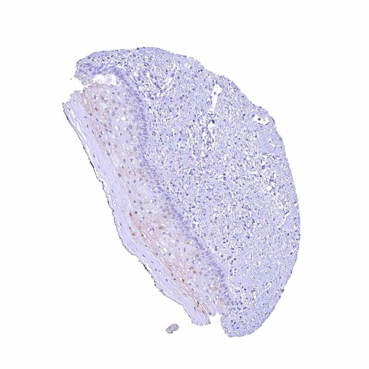
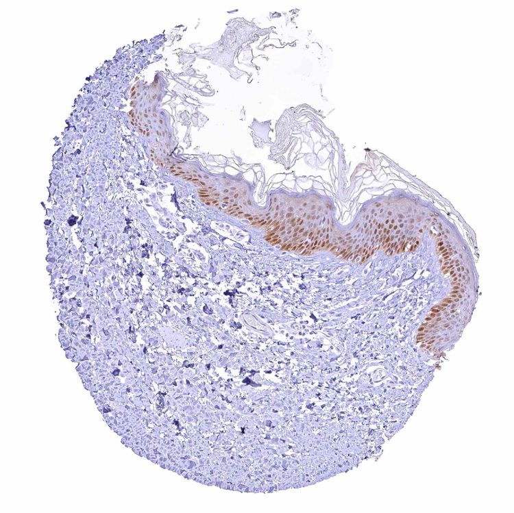
Skin
Skin – Moderate to strong predominantly nuclear PAI2 staining of the lower 2-3 of the squamous epithelium (including the basal cell layer)
Skin, hairfollicel and ekkrine glands
Skin, hairfollicel and sebaceous glands

Bone Marrow & lymphoid tissues

Bone marrow
Bone marrow – Few cells show a nuclear and cytoplasmic PAI2 staining
Thymus
Thymus – Moderate to strong PAI2 staining of a subset of cells of corpuscles of Hassall‘s
Spleen
Lymph node
Tonsil
Tonsil – Strong cytoplasmic and nuclear PAI2 staining of the upper 2-3 of squamous epithelium in the crypts