Search
0
Open account page
Open menu
Antibodies
Tissue Microarrays
Gallery
Normal Tissue Gallery
Cancer Tissue Gallery
Quiz
About Us
Contact
Cancer Tissues
PSAT1
Product Page
Normal Tissues
Endocrine Tissues
Adrenal gland
Adrenal gland – Pheochromocytoma with a variable, weak to strong PSAT1 staining of tumor cells
Thyroid
Thyroid – PSAT1 negative papillary carcinoma
Respiratory system
Lung
Lung – Adenocarcinoma with moderate to strong PSAT1 staining of most tumor cells
Lung
Lung – PSAT1 negative squamous cell carcinoma
Lung
Lung – Squamous cell carcinoma with moderate to strong, predominantly nuclear PSAT1 staining of tumor cells
Proximal digestive tract
Esophagus
Esophagus – PSAT1 negative adenocarcinoma
Esophagus
Esophagus – Squamous cell carcinoma with weak to moderate nuclear and cytoplasmic PSAT1 positivity of tumor cells
Salivary gland
Salivary gland – PSAT1 negative Warthin tumor
Gastronintestinal tract
Stomach
Stomach – Gastric adenocarcinoma (intestinal type) with faint PSAT1 staining of most tumor cells
Liver, Gallbladder, Pancreas
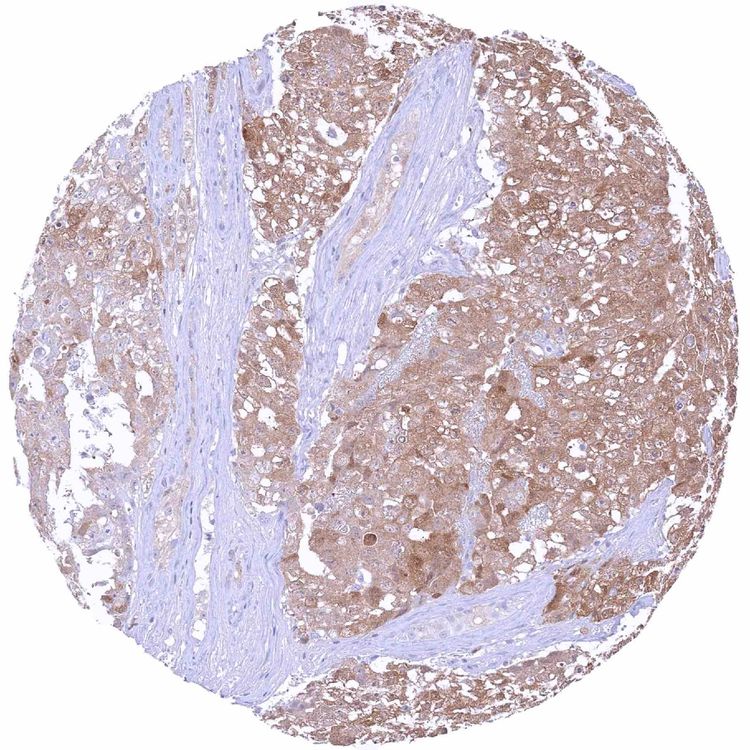
Liver
Liver – Hepatocellular carcinoma with a weak to moderate PSAT1 positivity of tumor cells
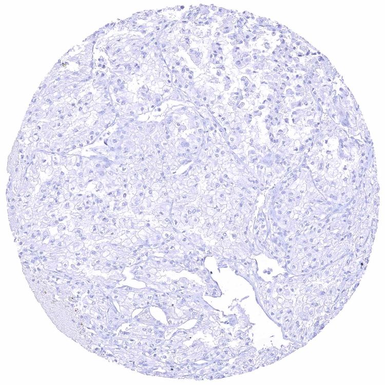
Liver
Liver – PSAT1 negative cholangiocellular carcinoma
Pancreas
Pancreas – PSAT1 negative ductal adenocarcinoma
Pancreas
Pancreas – PSAT1 negative neuroendocrine tumor.jpeg
Kidney, urinary bladder
Kidney
Kidney – PSAT1 negative clear cell carcinoma
Kidney
Kidney – PSAT1 negative papillary renal cell carcinoma
Male tissues
Prostate
Prostate – Adenocarcinoma (Gleason 5+5=10) with strong PSAT1 staining of tumor cells
Prostate
Prostate – PSAT1 negative adenocarcinoma (Gleason 3+3=6)
Testis
Testis – Embryonal carcinoma with moderate to strong PSAT1 staining of tumor cells
Testis
Testis – Leydig cell tumor with faint PSAT1 staining of most tumor cells
Testis
Testis – PSAT1 negative seminoma
Female Tissues
Uterus, cervix
Uterus, cervix – PSAT1 negative adenocarcinoma
Ovary
Ovary – Clear cell carcinoma with strong PSAT1 staining of tumor cells
Ovary
Ovary – Malignant mixed Mullerian tumor with strong PSAT1 staining of tumor cells
Ovary
Ovary – PSAT1 negative endometroid carcinoma
Ovary
Ovary – Serous high-grade carcinoma with strong PSAT1 positivity of tumor cells
Muscle, connective & soft tissue
Penis
Penis – PSAT1 negative squamous cell carcinoma
Penis
Penis – Squamous cell carcinoma with moderate to strong, predominantly nuclear PSAT1 staining of a fraction of tumor cells
Bone Marrow & lymphoid tissues
Lymph node
Lymph node – Hodgkin’s lymphoma with distinct PSAT1 staining of tumor cells
Lymph node
Lymph node – Hodgkin’s lymphoma with weak to moderate PSAT1 staining of tumor cells
Lymph node
Lymph node – Marginal zone lymphoma with moderate to strong PSAT1 staining of most tumor cells
Lymph node
Lymph node – PSAT1 negative angioimmunoblastic T-cell lymphoma
Lymph node
Lymph node – PSAT1 negative diffuse large B-cell lymphoma