Search
0
Open account page
Open menu
Antibodies
Tissue Microarrays
Gallery
Normal Tissue Gallery
Cancer Tissue Gallery
Quiz
About Us
Contact
Cancer Tissues
SDHB
Product Page
Normal Tissues
Endocrine Tissues
Adrenal gland
Adrenal gland – Adrenocortical adenoma with moderate SDHB immunostaining of tumor cells
Adrenal gland
Adrenal gland – Adrenocortical carcinoma with intense SDHB staining of all tumor cells
Adrenal gland
Adrenal gland – Pheochromocytoma with moderate SDHB immunostaining of tumor cells
Thyroid
Thyroid – Medullary cancer with moderate SDHB positivity of tumor cells
Thyroid
Thyroid – Papillary cancer with moderate SDHB immunostaining of tumor cells
Proximal digestive tract
Esophagus
Esophagus – Adenocarcinoma with strong SDHB staining of tumor cells
Salivary gland
Salivary gland – Warthin tumor with intensive SDHB immunostaining of epithelial tumor cells
Gastronintestinal tract
Stomach
Stomach – Gastric adenocarcinoma (diffuse type) with strong SDHB positivity of tumor cells
Stomach
Stomach – Gastrointestinal stromal tumor (GIST) with strong SDHB immunostaining of tumor cells
Stomach
Stomach – Gastrointestinal stromal tumor (GIST) with strong SDHB staining of tumor cells (2)
Stomach
Stomach – Gastrointestinal stromal tumor (GIST) with strong SDHB staining of tumor cells
Colon
Colon – Colorectal adenocarcinoma with strong SDHB staining of tumor cells.jpeg
Liver, Gallbladder, Pancreas
Liver
Liver – Cholangiocellular carcinoma with strong SDHB immunostaining of tumor cells
Liver
Liver – Hepatocellular carcinoma with intense SDHB staining of tumor cells
Pancreas
Pancreas – Acinar cell carcinoma showing SDHB staining of variable intensity in tumor cells
Pancreas
Pancreas – Ductal adenocarcinoma with intense SDHB tumor cell positivity
Pancreas
Pancreas – Neuroendocrine tumor showing moderate to strong SDHB positivity of tumor cells
Kidney, urinary bladder
Kidney
Kidney – Absence of granular SDHB staining in tumor cells of an SDH deficient renal cell carcinoma
Kidney
Kidney – Chromophobe renal cell carcinoma with strong SDHB labeling of tumor cells
Kidney
Kidney – Clear cell renal cell carcinoma exhibiting a strong SDHB immunostaining of tumor cells
Kidney
Kidney – Clear cell renal cell carcinoma showing moderate SDHB immunostaining of tumor cells
Kidney
Kidney – Papillary renal cell carcinoma with moderate to strong SDHB staining of tumor cells
Kidney
Kidney – SDHB mutated renal cell carcinoma lacking granular SDHB staining of tumor cells
Urinary bladder
Urinary bladder – Muscle-invasive urothelial carcinoma showing weak to moderate SDHB immunostaining of tumor cells
Male tissues
Prostate
Prostate – Adenocarcinoma (Gleason 3+3=6) with moderate intensity SDHB staining of tumor cells
Prostate
Prostate – Adenocarcinoma (Gleason 4+4=8) showing marked SDHB positivity of tumor cells
Testis
Testis – Leydig cell tumor with intense SDHB staining of tumor cells
Testis
Testis – Seminoma with intensepositivity SDHB immunostaining of tumor cells
Female Tissues
Breast
Breast – Invasive breast cancer of no special type (NST) with strong SDHB immunostaining of tumor cells
Uterus
Uterus – Leiomyosarcoma with moderate SDHB staining of tumor cells
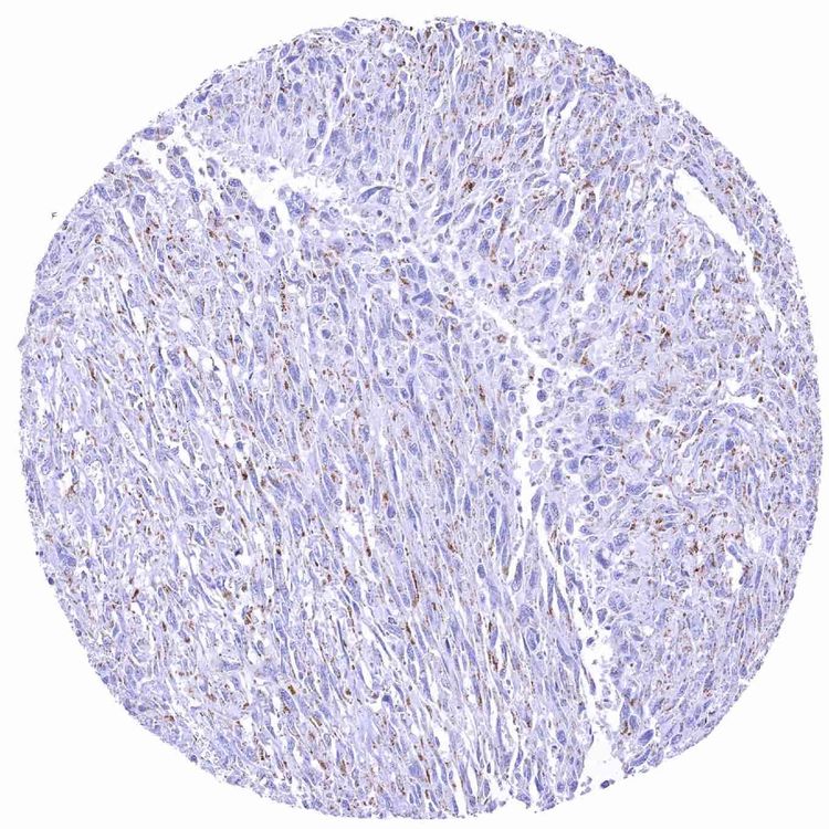
Soft tissue
Soft tissue – Paraganglioma with complete loss of granular SDHB staining of tumor cells. Intense STHB staining of inflammatory and stroma cells
Soft tissue
Soft tissue – SDH deficient paraganglioma lacking granular SDHB staining in all tumor cells. Stroma cells are SDHB positive
Bone Marrow & lymphoid tissues
Lymph node
Lymph node – Diffuse large B-cell lymphoma with strong SDHB staining of tumor cells
Lymph node
Lymph node – Hodgkin’s lymphoma with strong SDHB positivity of tumor associated inflammatory cells. Tumor cells are also positive