Search
0
Open account page
Open menu
Antibodies
Tissue Microarrays
Gallery
Normal Tissue Gallery
Cancer Tissue Gallery
Quiz
About Us
Contact
Normal Tissues
Comparison mode
TRIM72
Product Page
Cancer Tissues
Brain
Cerebrum, grey matter
Cerebrum, white matter
Cerebellum, cortex (molecular layer, purkinje cell layer, granule cell layer)
Cerebellum (white matter)
Endocrine Tissues
Adrenal gland
Thyroid gland
Thyroid gland (2)
Parathyroid gland
Parathyroid gland – Weak TRIM72 staining of muscle cells of the walls of small blood vessels
Parathyroid gland
Pituitary gland, posterior lobe
Respiratory system
Lung
Proximal digestive tract
Tonsil, surface epithelium
Parotid gland
Parotid gland – Weak TRIM72 staining of a subset of epithelial cells of excretory ducts
Gastronintestinal tract
Stomach, antrum
Stomach, corpus
Duodenum, Brunner gland
Liver, Gallbladder, Pancreas
Liver
Pancreas
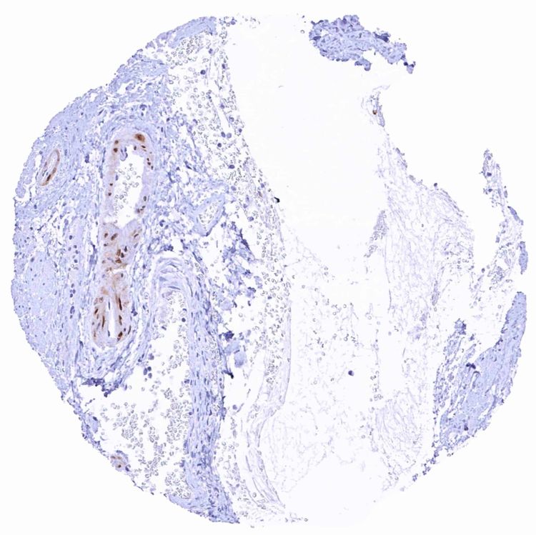
Kidney, urinary bladder
Kidney, cortex
Kidney, cortex – Weak TRIM72 staining of muscle cells of a small artery
Kidney, cortex
Kidney, cortex – Weak TRIM72 staining of some arterioles
Kidney, medulla
Urinary bladder, urothelium
Male tissues
Epididymis (Caput)
Epididymis (Cauda)
Prostate
Seminal vesicle
Testis
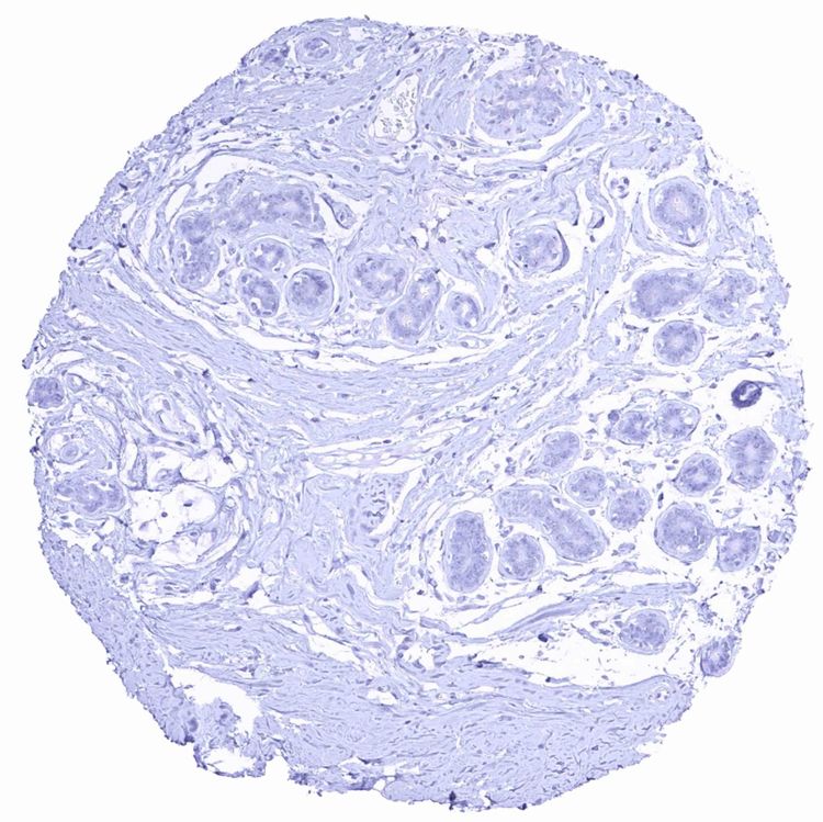
Female Tissues
Breast
Breast
Uterus, ectocervix
Uterus, endocervix
Uterus, endometrium (proliferation)
Uterus, endometrium (pregnancy)
Uterus, endometrium (secretion)
Uterus, myometrium
Fallopian tube, mucosa
Ovary, stroma
Ovary, corpus luteum
Placenta (amnion and chorion)
Placenta, early
Placenta, mature
Muscle, connective & soft tissue
Skeletal muscle
Skeletal muscle – Strong membranous and cytoplasmic TRIM72 staining of skeletal muscle cells. (2)
Skeletal muscle
Skeletal muscle – Strong membranous and cytoplasmic TRIM72 staining of skeletal muscle cells
Skeletal muscle, tongue
Skeletal muscle, tongue – Strong membranous and cytoplasmic TRIM72 staining of skeletal muscle cells. (2)
Skeletal muscle, tongue
Skeletal muscle, tongue – Strong membranous and cytoplasmic TRIM72 staining of skeletal muscle cells
Heart muscle
Heart muscle – Weak TRIM72 staining of muscle cells of the walls of small arteries
Heart muscle
Heart muscle – Weak TRIM72 staining of muscle cells of the walls of small arteries and arterioles
Heart muscle
Heart muscle – Weak TRIM72 staining of muscle cells of the walls of small arteries and arterioles (2)
Urinary bladder, muscular wall
Esophagus, muscular wall
Esophagus, muscular wall – Weak TRIM72 staining of muscle cells of the walls of small arteries
Stomach, muscular wall
Stomach, muscular wall – Weak TRIM72 staining of muscle cells of the walls of small arteries and arterioles
Appendix, muscular wall
Appendix, muscular wall – Weak TRIM72 staining of muscle cells of the walls of small arteries and arterioles
Appendix, muscular wall
Appendix, muscular wall – Weak TRIM72 staining of muscle cells of the walls of small arteries and arterioles (2)
Colon descendens, mucosa
Colon descendens, muscular wall
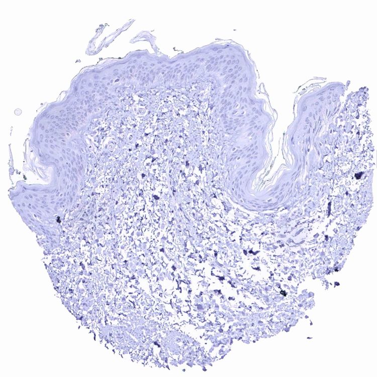
Skin
Skin
Skin, hairfollicel and sebaceous glands
Bone Marrow & lymphoid tissues
Bone marrow
Thymus
Thymus – Distinct TRIM72 staining of a small subset of epithelial cells some of which are associated with corpuscles of Hassall‘s
Spleen
Tonsil