Cancer Tissues

Endocrine Tissues

Adrenal gland
Adrenal gland – Adrenocortical adenoma with a moderate SMARCA2 staining of tumor cells

Respiratory system

Lung
Lung – Adenocarcinoma with a reduced SMARCA2 expression in tumor cells. About 10_ of tumor cells show a weak SMARCA2 positivity while stroma cells show a strong staining
Lung
Lung – Adenocarcinoma with a reduced SMARCA2 expression in tumor cells. About 30_ of tumor cells show a weak SMARCA2 positivity while stroma cells show a strong staining
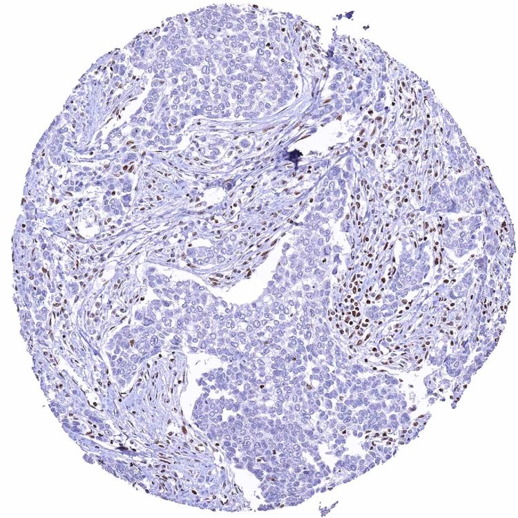
Lung
Lung – SMARCA2 deficient adenocarcinoma
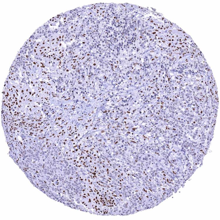
Lung
Lung – SMARCA2 negative squamous cell carcinoma

Proximal digestive tract

Oral cavity
Oral cavity – Squamous cell carcinoma with strong SMARCA2 immunostaining of tumor cells
Esophagus
Esophagus – Adenocarcinoma with moderate SMARCA2 immunostaining of tumor cells
Esophagus
Esophagus – SMARCA2 deficient neuroendocrine carcinoma
Esophagus
Esophagus – SMARCA2 negative neuroendocrine carcinoma
Esophagus
Esophagus – Squamous cell carcinoma with strong SMARCA2 staining of tumor cells
Salivary gland
Salivary gland – Warthin tumor showing a strong SMARCA2 immunostaining of tumor cells

Gastronintestinal tract

Stomach
Stomach – Gastrointestinal stromal tumor (GIST) with strong SMARCA2 positivity of all tumor cells
Colon
Colon – Colorectal adenocarcinoma with strong SMARCA2 immunostaining of tumor cells
Colon
Colon – Neuroendocrine carcinoma with a reduced SMARCA2 expression in tumor cells. Only about 10_ of tumor cells show a weak SMARCA2 positivity while stroma cells display a strong staining
Colon
Colon – SMARCA2 negative neuroendocrine carcinoma

Liver, Gallbladder, Pancreas

Liver
Liver – Cholangiocellular carcinoma with strong SMARCA2 staining of tumor cells
Liver
Liver – Hepatocellular carcinoma with a reduced SMARCA2 expression in tumor cells. Only about 50_ of tumor cells show a weak SMARCA2 positivity while stroma cells show a clearly stronger staining
Pancreas
Pancreas – Neuroendocrine tumor displaying a strong SMARCA2 staining of all tumor cells
Pancreas
Pancreas – SMARCA2 negative adenocarcinoma of the papilla Vaterii
Pancreas
Pancreas – SMARCA2 negative neuroendocrine tumor

Kidney, urinary bladder

Kidney
Kidney – Chromophobe renal cell carcinoma with weak SMARCA2 staining of tumor cells
Kidney
Kidney – Clear cell renal cell carcinoma with strong SMARCA2 positivity of tumor cells
Kidney
Kidney – Papillary renal cell carcinoma with moderate to strong SMARCA2 immunostaining of tumor cells
Urinary bladder
Urinary bladder – Muscle-invasive urothelial carcinoma showing a strong SMARCA2 positivity of tumor cells

Male tissues

Prostate
Prostate – Adenocarcinoma (Gleason 3+3=6) with strong SMARCA2 positivity of tumor cells
Prostate
Prostate – Adenocarcinoma (Gleason 5+5=10) with strong SMARCA2 staining of all cancer cells
Testis
Testis – Seminoma with strong SMARCA2 immunostaining of tumor cells
Testis
Testis – SMARCA2 deficient embryonal carcinoma

Female Tissues

Breast
Breast – Invasive breast cancer of no special type (NST) with strong SMARCA2 staining of tumor cells
Breast
Breast – Invasive lobular breast cancer with strong SMARCA2 immunostaining of tumor cells
Ovary
Ovary – Serous high-grade carcinoma with strong SMARCA2 positivity of all tumor cells
Ovary
Ovary – Clear cell carcinoma carcinoma with only faint SMARCA2 staining of few tumor cells while stroma cells are strongly positive
Ovary
Ovary – Clear cell carcinoma with strong SMARCA2 staining of tumor cells
Ovary
Ovary – Malignant mixed Mullerian tumor showing a strong SMARCA2 immunostaining of sarcomatoid tumor cells while staining is largely lacking in epithelial tumor cells
Ovary
Ovary – Serous high-grade carcinoma with only faint SMARCA2 staining of few tumor cells while stroma cells are strongly positive
Ovary
Ovary – SMARCA2 deficient serous high-grade carcinoma

Skin

Skin
Skin – Basal cell carcinoma with strong SMARCA2 immunostaining of tumor cells
Skin
Skin – Malignant melanoma showing a faint SMARCA2 staining in only about 60_ of tumor cells
Skin
Skin – Malignant melanoma with strong SMARCA2 positivity of tumor cells
Skin
Skin – SMARCA2 negative malignant melanoma
Anal canal
Anal canal – Squamous cell carcinoma with strong SMARCA2 immunostaining of tumor cells

Bone Marrow & lymphoid tissues

Lymph node
Lymph node – SMARCA2 negative diffuse large B-cell lymphoma. Only non-neoplastic cells show SMARCA2 staining
Lymph node
Lymph node – SMARCA2 negative follicular B-cell lymphoma. Only non-neoplastic cells show SMARCA2 staining